Volte a sorrir com segurança e confiança

Dr. Filipe Ribeiro Cini · CRO 25.518 · Mercês, Curitiba
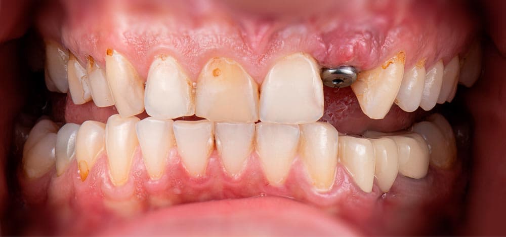
Tratamentos que transformam seu sorriso com segurança
Do diagnóstico ao acompanhamento final, cada etapa é planejada para devolver confiança, função e liberdade para sorrir.
Volte a mastigar com segurança, sem depender de próteses removíveis.
Recupere estabilidade e confiança com reabilitação total planejada.
Sorria sem reservas com planejamento estético e resultado natural.
Melhore a tonalidade do sorriso com protocolo seguro e orientado.
Tratamento cirúrgico conduzido com segurança e acompanhamento próximo.
Avaliação clara e conduta segura para o melhor momento de tratamento.
Mais firmeza para mastigar, falar e sorrir com confiança no dia a dia.
Transformações reais, planejadas com cuidado
Autoridade clínica para devolver sua segurança ao sorrir
Dr. Filipe Ribeiro Cini - Cirurgião-dentista CRO 25.518. Em Curitiba, unimos técnica, sensibilidade e planejamento digital odontológico para oferecer tratamentos com precisão, conforto e resultados que respeitam seu perfil.
Cirurgião-dentista especializado em Implantodontia · CRO 25.518 · PUCPR

"
Estava com medo da cirurgia, mas não senti dor nenhuma na extração dos sisos.
— Romero Real
Ver todas as avaliações no Google →5.0 · 7 avaliações verificadas no Google
Um espaço pensado para o seu conforto


Por que escolher nossa clínica odontológica em Curitiba
Mais do que tratamento, entregamos segurança para decidir, conforto durante o processo e resultado confiável no longo prazo.

Especialista em implantodontia e cirurgia oral com mais de 10 anos de experiência
Planejamento digital em cada caso para mais precisão e resultado previsível
Avaliação individual sem pressão — você decide com clareza e segurança
Acompanhamento próximo do pré ao pós-tratamento em um único endereço
Conteúdos para ajudar o paciente a decidir com mais clareza
Guias curtos para dúvidas que costumam aparecer antes da avaliação e que reforçam a autoridade das páginas principais.
Estamos no bairro Mercês, em Curitiba
Mercês, Curitiba - PR
CEP 80730-440
Mapa interativo com conteúdo de terceiros
Para proteger privacidade e desempenho, o mapa só carrega quando você clicar.
Como funciona seu primeiro atendimento
Entenda o que acontece desde o primeiro contato até o plano de tratamento, sem surpresa nem pressão.
01
Contato inicial por WhatsApp ou telefone
Você explica sua necessidade e nossa equipe orienta o melhor próximo passo para o seu caso.
02
Avaliação e diagnóstico
Na consulta, buscamos entender o quadro com clareza, explicar possibilidades e alinhar expectativas.
03
Plano de tratamento personalizado
Você recebe orientação sobre prioridades, etapas e próximos passos para decidir com mais segurança.
Dúvidas comuns antes de agendar sua avaliação
Respostas objetivas para você tomar uma decisão com mais segurança e confiança.
Agende sua consulta com dentista em Curitiba, Paraná
Clique no WhatsApp e fale com nossa equipe para receber orientação personalizada e agendar sua avaliação.
Escolha como prefere falar com a clínica
Pelo WhatsApp ou por telefone, o número já está aqui para facilitar seu agendamento.
Atendimento particular com horário agendado e retorno rápido para orientar o próximo passo do seu caso.
Pronto para dar o primeiro passo?
Fale com a clínica pelo WhatsApp, explique seu caso e receba orientação clara sobre o melhor próximo passo. Sem pressão, sem compromisso.
Quero agendar minha consulta


